Giornata dedicata ai 1200 fiorentini che festeggiano 50 anni di matrimonio per il Sindsco, intanto...
Firenze
Nella notte fra martedì e mercoledì la Polizia Municipale è intervenuta nella zona di Brozzi…
Subito dopo la sentenza del Consiglio di Stato ecco i commenti di tutta la politica fiorentina.
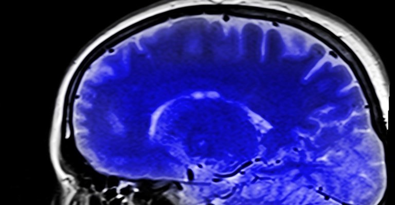
Verrà usata per scovare nuovi farmaci e vaccini e studiare proteine coinvolte nei tumori, nel Parkinson e nell’Alzheimer
Alcune idee su come passare al meglio la giornata degli innamorati
San Valentino con vento forte domani in città. E' quanto emerge dal bollettino di valutazione delle criticità del centro funzionale regionale.
Arresto per violenza sessuale ai danni di una minorenne. E' questo il reato imputato e notificato stamani a Firenze. Dopo aver carpito la fiducia dei genitori," l'accompagnatore" abusava della bambina
Il Consiglio di Stato boccia il ricorso di Toscana Aeroporti. Nardella si è già sentito con il Ministro dei Trasporti Paola De Micheli e con il Governatore Enrico Rossi
Giovanni Beltrami presentato questa mattina dal rettore Luigi Dei e dal direttore generale dell'Azienda Ospedaliero-Universitaria Meyer Alberto Zanobini
Presentato alla Leopolda il pagamento tramite microcip. Niente più soldi o carte, basterà avvicinare la mano. La Biohax fa accordi con l'Italia. E intanto arrivano altri incentivi per chi deciderà di pagare senza denaro contante
Convocato in Prefettura il tavolo di lavoro per fare il punto sulle misure adottate in provincia. Il prefetto Lega: “Nessun allarmismo, attenzione doverosa”.
Abbiamo vissuto in diretta la querelle, la rabbia del campione, il gesto eclatante e il tentativo di ricucitura isittuzionale. Ecco la videonotizia

















